713-791-0700
About
In the Media
Face
Face and Neck Lift
Eyelid Surgery
Brow Lift
Chin Augmentation Surgery
Breast
Breast Augmentation
Breast Lift
Breast Lift with Implants
Breast Reconstruction
Breast Reduction
Breast Implant Revision
Body
Liposuction
Tummy Tuck
Mommy Makeover
Arm Lift
Post Weight Loss Surgery
Non Surgical
Botox®
Injectable Dermal Fillers
Blog
Gallery
Contact
Houston Location
713-791-0700
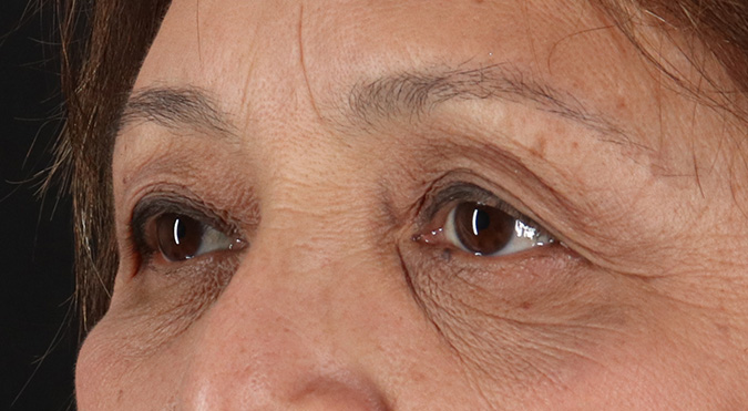
Patient 81619
← Back to Gallery
← Previous Patient
Next Patient →
Procedure: Blepharoplasty (Eyelid Surgery)
Front
Right Oblique
Right Lateral
Left Oblique
Left Lateral
Demographics
Post-Op:
6 months
Age Range:
60-69